Orthodontic Treatment
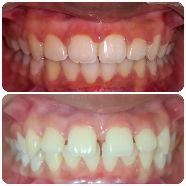
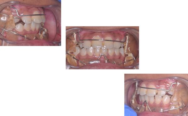
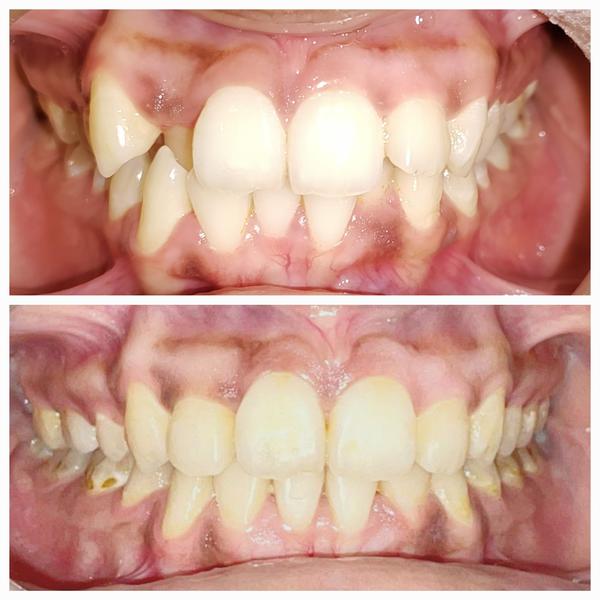
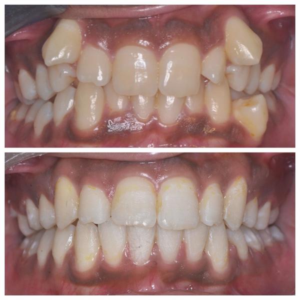
Best Orthodontic Treatment Specialist in Pune – Dr. Rushabh ShahIf you are looking for the best orthodontic treatment specialist in Pune, Dr. Rushabh Shah at Dr. Rushabh’s Dental Care & Orthodontic Centre is a trusted name for creating healthy, straight, and confident smiles. With advanced orthodontic techniques and patient-centric care, Dr. Rushabh Shah offers customized treatment solutions for children, teenagers, and adults.Expert Orthodontic Care for Perfectly Aligned TeethOrthodontic treatment focuses on correcting misaligned teeth, bite problems, and jaw irregularities. At Dr. Rushabh’s Dental Care & Orthodontic Centre, patients receive personalized orthodontic treatment plans using modern technology to ensure precise, comfortable, and long-lasting results.>>Orthodontic Treatments Offered•Metal Braces Treatment•Ceramic Braces (Tooth-Colored Braces)•Invisible Braces / Clear Aligners•Lingual Braces (Braces behind the teeth)•Gap Correction & Teeth Alignment•Bite Correction (Overbite, Underbite, Crossbite)•Orthodontic Treatment for Children & Adults>>Why Choose Dr. Rushabh Shah for Orthodontic Treatment?•Experienced & Skilled Orthodontic Specialist•Advanced Digital Diagnosis & Treatment Planning•Latest Braces & Aligner Technology•Comfortable, Safe & Hygienic Clinic Environment•Affordable Orthodontic Treatment with Flexible Options•Proven Track Record of Successful Smile Transformations>>Best Orthodontic Clinic in Swargate Dr. Rushabh’s Dental Care & Orthodontic Centre is equipped with state-of-the-art facilities and follows strict sterilization protocols to provide safe and effective orthodontic care. The clinic is known for ethical treatment, transparent communication, and excellent patient satisfaction.For more information please visit the clinic or call us.
READ MORE










